U màng não là một căn bệnh nguy hiểm và có thể gây ra những hậu quả nghiêm trọng cho sức khỏe con người. Tuy nhiên, nhờ vào sự tiến bộ của công nghệ y tế, chụp cộng hưởng từ (MRI) đã trở thành một công cụ hỗ trợ chẩn đoán quan trọng trong việc phát hiện và theo dõi sự phát triển của u màng não. Trong bài viết này, chúng ta sẽ tìm hiểu về dấu hiệu của khối u và tầm quan trọng của chụp cổng hưởng từ trong việc chẩn đoán và điều trị u màng não.
- Thời gian rụng trứng kéo dài bao lâu? Cách tính thời gian dễ thụ thai?
- Tàm sao để cải thiện tình trạng đi tiểu đêm khi mang thai?
- Niêm mạc tử cung là gì? Ảnh hưởng của niêm mạc tử cung tới khả năng mang thai
- Bóc nhân xơ tử cung là gì? Ưu điểm của nội soi bóc nhân xơ tử cung
- Trường hợp nào cần nên đến nha sĩ

Chụp cộng hưởng từ là gì?
Chụp cộng hưởng từ (MRI) là một phương pháp hình ảnh y tế không xâm lấn và không sử dụng tia X hay tia gamma. Thay vào đó, nó sử dụng từ trường và sóng radio để tạo ra hình ảnh chi tiết của cơ thể. MRI cho phép các bác sĩ xem xét các cấu trúc và mô trong cơ thể một cách rõ ràng và chi tiết hơn so với các phương pháp hình ảnh khác.
Nguyên nhân mắc u màng não?

U màng não là một loại khối u ác tính phát triển trong màng não, một lớp mô mỏng bao quanh não và tủy sống. Nguyên nhân chính gây ra u màng não chưa được xác định rõ ràng, nhưng một số yếu tố có thể tăng nguy cơ mắc u màng não bao gồm:
- Tiếp xúc với chất gây ung thư như asbest, vinyl chloride và ionizing radiation.
- Các yếu tố di truyền và gia đình có tiền sử u màng não.
- Hệ thống miễn dịch yếu.
- Tuổi tác, với nguy cơ mắc u màng não tăng theo tuổi.
- Di truyền: Có một số loại u màng não được cho là do di truyền, đặc biệt là những trường hợp xuất hiện ở những người có tiền sử bệnh lý trong gia đình.
- Tác động từ môi trường: Một số tác nhân môi trường như phóng xạ, hóa chất độc hại, thuốc lá, cồn, và nhiễm virus có thể góp phần vào sự phát triển của u màng não.
- Tuổi tác: U màng não thường xuất hiện ở những người trên 50 tuổi, tuy nhiên, nó cũng có thể xuất hiện ở những người trẻ tuổi.
- Bệnh lý khác: Một số bệnh lý khác như bệnh AIDS, bệnh Hodgkin, và bệnh tăng sinh tuyến giáp cũng có thể góp phần vào sự phát triển của u màng não.
Dấu hiệu, triệu chứng của u màng não

U màng não có thể gây ra một loạt các triệu chứng và dấu hiệu, bao gồm:
- Đau đầu: Đau đầu là triệu chứng phổ biến nhất của u màng não. Đau đầu có thể kéo dài và không giảm sau khi sử dụng thuốc giảm đau thông thường.
- Thay đổi trong tầm nhìn: U màng não có thể gây ra thay đổi trong tầm nhìn, bao gồm mờ mắt, giảm thị lực và thậm chí mất thị lực.
- Thay đổi trong hành vi và tâm trạng: U màng não có thể gây ra thay đổi trong hành vi và tâm trạng, bao gồm khó khăn trong việc tập trung, thay đổi tâm trạng và khó khăn trong việc thực hiện các hoạt động hàng ngày.
- Các triệu chứng thần kinh khác: U màng não có thể gây ra các triệu chứng thần kinh khác như co giật, tê liệt và khó khăn trong việc điều chỉnh cử động.
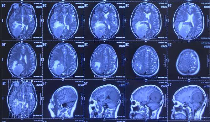
Vai trò của chụp cộng hưởng từ trong chẩn đoán u màng não
Xem thêm : Virus HPV: những điều tất cả phụ nữ nên biết
Vai trò của MRI trong chẩn đoán u màng não là tạo ra hình ảnh rõ ràng về vị trí, kích thước và tính chất của u. MRI có độ phân giải cao hơn so với các phương pháp chẩn đoán hình ảnh khác như CT scan, cho phép các bác sĩ và chuyên gia y tế nhìn thấy chi tiết nhỏ hơn của u màng não.
Ngoài ra, MRI cũng cho phép bác sĩ đánh giá mức độ tổn thương của các mô xung quanh u màng não và xác định liệu u có lan sang các vùng khác của não hay không. Điều này rất quan trọng trong việc quyết định liệu phẫu thuật là cách tốt nhất để điều trị u màng não hay không.
Câu hỏi thường gặp
Chụp cộng hưởng từ có an toàn không?
Chụp cộng hưởng từ là một phương pháp hình ảnh y tế an toàn và không gây đau đớn. Tuy nhiên, nếu bạn có các thiết bị y tế như nhân cơ tim hoặc bơm insulin, bạn nên thông báo cho nhân viên y tế trước khi thực hiện MRI.
Chụp cộng hưởng từ có tác dụng phụ không?
Chụp cộng hưởng từ không gây tác dụng phụ nghiêm trọng. Tuy nhiên, trong một số trường hợp, có thể xảy ra phản ứng dị ứng với chất đối lập được sử dụng trong quá trình chụp MRI. Bạn nên thông báo cho nhân viên y tế về bất kỳ dị ứng hoặc vấn đề sức khỏe khác trước khi thực hiện MRI
Chụp cộng hưởng từ có đau không?
Chụp cộng hưởng từ không gây đau đớn. Tuy nhiên, bạn có thể cảm thấy một số cảm giác không thoải mái khi nằm trong máy MRI trong thời gian dài
Tôi cần chuẩn bị gì trước khi chụp cộng hưởng từ?
Trước khi chụp cộng hưởng từ, bạn nên thông báo cho nhân viên y tế về bất kỳ thiết bị y tế nào bạn đang sử dụng, dị ứng hoặc vấn đề sức khỏe khác.
Nguồn: https://nilp.vn
Danh mục: Sức Khỏe
