Chửa trứng toàn phần là gì?
Chửa trứng toàn phần là một tình trạng khi một trứng được thụ tinh nhưng không phát triển thành thai, mà thay vào đó phát triển thành một khối u dịch. Tình trạng này được gọi là “toàn phần” vì không có bất kỳ phần nào của trứng được phát triển thành thai.
Nguyên nhân
Chưa rõ nguyên nhân chính xác của chửa trứng toàn phần, tuy nhiên, một số yếu tố có thể góp phần vào việc phát triển tình trạng này. Các yếu tố này bao gồm:
Bạn đang xem: Chửa trứng toàn phần là gì?
- Tuổi của phụ nữ: nguy cơ chửa trứng toàn phần tăng lên khi phụ nữ trên 35 tuổi.
- Tiền sử chửa trứng toàn phần: nếu phụ nữ đã từng mắc chửa trứng toàn phần trước đó, nguy cơ tái phát sẽ tăng lên.
- Tiền sử nhiễm trùng: nếu phụ nữ từng mắc các bệnh nhiễm trùng ống dẫn trứng hoặc bệnh lây qua đường tình dục, nguy cơ mắc chửa trứng toàn phần sẽ tăng lên.
Triệu chứng của thai trứng toàn phần
Xem thêm : Phương pháp chẩn đoán ung thư tinh hoàn phổ biến nhất hiện nay
Có một số triệu chứng cho thấy thai trứng không phát triển, bao gồm:
- Mất các triệu chứng mang bầu: Một trong những dấu hiệu đầu tiên của thai trứng toàn phần là mất các triệu chứng mang bầu như buồn nôn, mệt mỏi, và sự tăng cân.
- Mất nhịp tim thai: Khi thai trứng không phát triển, không có nhịp tim thai được phát hiện trong quá trình siêu âm.
- Kích thước tử cung không tăng: Trong trường hợp thai trứng không phát triển, kích thước tử cung không tăng lên như bình thường trong thai kỳ.
Chẩn đoán thai trứng toàn phần
Để chẩn đoán thai trứng toàn phần, các phương pháp sau có thể được sử dụng:
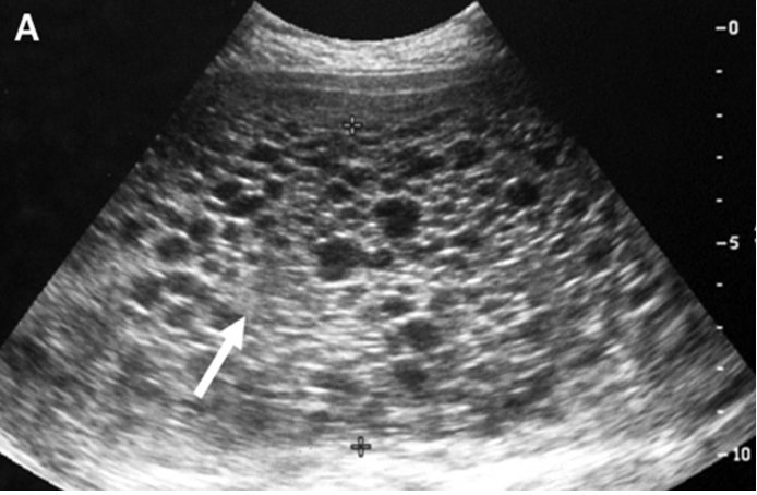
- Siêu âm: Siêu âm là phương pháp chẩn đoán chính xác nhất để xác định thai trứng toàn phần. Bằng cách sử dụng sóng siêu âm, bác sĩ có thể xem xét kích thước và hình dạng của thai trứng để xác định liệu nó có phát triển đúng cách hay không.
- Xét nghiệm máu: Xét nghiệm máu có thể được sử dụng để đo mức hCG (hormone chủ yếu trong thai kỳ) trong máu. Nếu mức hCG không tăng theo cách mong đợi hoặc giảm đi, có thể cho thấy thai trứng không phát triển.
Biến chứng của chửa trứng toàn phần

Xem thêm : Triệu chứng và cách xử lý khi trẻ bị nhiễm virus RSV
Nếu không được phát hiện và điều trị sớm, chửa trứng toàn phần có thể dẫn đến nhiều biến chứng nguy hiểm cho sản phụ
- Băng huyết: Do trứng bị sảy gây băng huyết, nguy hiểm đến tính mạng thai phụ.
- Xâm lấn gây thủng tử cung: Do trứng ăn sâu vào tử cung, có thể gây ra chảy máu nặng và nguy hiểm đến tính mạng thai phụ.
- Suy dinh dưỡng: Do sản phụ không thể hấp thụ đủ dinh dưỡng cho cả mình và thai nhi.
- Ung thư: Chửa trứng toàn phần có thể dẫn đến ung thư trophoblasts.
Điều trị và phòng tránh chửa trứng toàn phần
Điều trịNếu phát hiện chửa trứng toàn phần, phụ nữ cần được điều trị ngay lập tức để tránh các biến chứng nghiêm trọng. Các phương pháp điều trị bao gồm:
- Phẫu thuật: phương pháp này được sử dụng để loại bỏ trứng bị mắc kẹt trong ống dẫn trứng.
- Dùng thuốc: thuốc có thể được sử dụng để giúp trứng bị mắc kẹt trong ống dẫn trứng được đẩy ra ngoài.
Phòng tránhĐể giảm nguy cơ mắc chửa trứng toàn phần, phụ nữ có thể thực hiện các biện pháp phòng tránh như:
- Sử dụng phương pháp ngừa thai an toàn và hiệu quả.
- Điều trị kịp thời các bệnh lây qua đường tình dục hoặc nhiễm trùng ống dẫn trứng.
- Điều trị các bệnh lý liên quan đến ống dẫn trứng và tử cung.
Nguồn: https://nilp.vn
Danh mục: Sức Khỏe

