Trong bài viết này, chúng ta sẽ cùng tìm hiểu về hội chứng quá kích buồng trứng một cách chuyên nghiệp và khoa học. Chúng ta sẽ khám phá về nguyên nhân, triệu chứng và các yếu tố tăng nguy cơ mắc hội chứng quá kích buồng trứng, cũng như những biến chứng và tác động của nó đến sức khỏe của phụ nữ. Bài viết sẽ cung cấp thông tin hữu ích để giúp người đọc hiểu rõ hơn về hội chứng quá kích buồng trứng, bao gồm cách chẩn đoán và điều trị hiện có. Chúng ta cũng sẽ tìm hiểu về các biện pháp phòng ngừa và quản lý tình trạng này để đảm bảo sức khỏe và chất lượng cuộc sống của phụ nữ.
Hội chứng quá kích buồng trứng là gì?

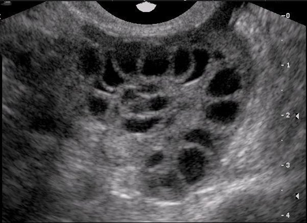
Hội chứng quá kích buồng trứng là một tình trạng trong cơ thể phụ nữ khi buồng trứng phát triển quá mức và gây ra những vấn đề sức khỏe. Đây là một hiện tượng khá phổ biến và có thể xảy ra ở bất kỳ độ tuổi nào trong quá trình sinh sản của phụ nữ.
Biểu hiện của hội chứng quá kích buồng trứng
Xem thêm : CA 15-3: Dấu ấn ung thư vú có ý nghĩa như thế nào?
Hội chứng quá kích buồng trứng có thể gây ra những biểu hiện và triệu chứng sau:
- Đau bên hông dưới
- Tăng kích thước của buồng trứng
- Cảm giác đầy bụng hoặc căng bụng
- Buồn nôn hoặc nôn mửa
- Thay đổi trong chu kỳ kinh nguyệt
- Tăng cân nhanh chóng
- Thay đổi tâm trạng và cảm xúc.
Đối tượng dễ bị quá kích buồng trứng
Một số nhóm phụ nữ có nguy cơ cao bị hội chứng quá kích buồng trứng bao gồm:
- Phụ nữ có tiền sử hội chứng quá kích buồng trứng trong quá khứ
- Phụ nữ có vấn đề về nội tiết tố
- Phụ nữ sử dụng các loại thuốc kích thích rụng trứng trong quá trình điều trị hiếm muộn
- Phụ nữ có các bệnh lý liên quan đến buồng trứng, như u buồng trứng hoặc polycystic ovary syndrome (PCOS).
Xử lý thế nào khi bị quá kích buồng trứng?
Khi gặp phải hội chứng quá kích buồng trứng, việc xử lý phụ thuộc vào mức độ và triệu chứng của tình trạng. Các phương pháp điều trị có thể bao gồm:
- Theo dõi và quan sát: Đối với những trường hợp nhẹ, bác sĩ có thể chỉ định theo dõi và quan sát để xem xét sự phát triển của buồng trứng và triệu chứng.
- Điều trị thuốc: Bác sĩ có thể kê đơn thuốc để giảm triệu chứng và kiểm soát quá trình phát triển của buồng trứng.
- Can thiệp ngoại khoa: Trong một số trường hợp nghiêm trọng, phẫu thuật có thể được thực hiện để giảm kích thước của buồng trứng hoặc loại bỏ nó hoàn toàn.
Phòng ngừa hội chứng quá kích buồng trứng

Để phòng ngừa hội chứng quá kích buồng trứng, bạn có thể thực hiện những biện pháp sau:
- Điều chỉnh liều lượng thuốc kích thích rụng trứng: Nếu bạn đang sử dụng thuốc kích thích rụng trứng, hãy tuân thủ đúng liều lượng được chỉ định bởi bác sĩ.
- Theo dõi sức khỏe tổng quát: Đảm bảo bạn duy trì một lối sống lành mạnh, bao gồm chế độ ăn uống cân đối, tập thể dục đều đặn và giảm stress.
- Thường xuyên kiểm tra sức khỏe: Điều này bao gồm việc thăm khám định kỳ với bác sĩ và thực hiện các xét nghiệm cần thiết để theo dõi sự phát triển của buồng trứng.
Để có được một bài viết chuyên nghiệp về hội chứng quá kích buồng trứng, chúng ta cần tuân thủ các nguyên tắc sau:
- Sử dụng ngôn ngữ chính xác và chuyên nghiệp.
- Cung cấp thông tin đầy đủ và chi tiết về hội chứng quá kích buồng trứng.
- Sắp xếp bài viết theo cấu trúc rõ ràng và dễ hiểu.
- Sử dụng các ví dụ và hình ảnh để minh họa và làm rõ các khái niệm.
- Đảm bảo tính logic và khách quan trong việc trình bày thông tin.
Chúng ta cũng có thể tham khảo các nguồn tài liệu để hiểu rõ hơn về cách xác định tone of voice chuyên nghiệp và áp dụng vào bài viết của chúng ta.
Nguồn: https://nilp.vn
Danh mục: Sức Khỏe
