Phù phổi cấp ở trẻ em là một tình trạng y tế nghiêm trọng, đòi hỏi sự chú ý và điều trị kịp thời. Đây là một bài viết nhằm cung cấp thông tin chi tiết về phù phổi cấp ở trẻ em, bao gồm nguyên nhân, triệu chứng, chẩn đoán và điều trị. Hiểu rõ về căn bệnh này sẽ giúp phụ huynh và những người chăm sóc trẻ em nhận biết và xử lý tình huống một cách hiệu quả, từ đó giúp bảo vệ sức khỏe và sự phát triển của trẻ.

Phù phổi cấp là gì?
Phù phổi cấp là một tình trạng y tế nghiêm trọng ở trẻ em, trong đó có sự tích tụ dịch trong phổi do việc mất cân bằng giữa lượng nước vào và ra khỏi mạch máu. Điều này dẫn đến sự sưng phù và giảm khả năng phổi hoạt động. Phù phổi cấp có thể gây ra suy hô hấp và là một tình trạng cấp cứu yêu cầu sự can thiệp ngay lập tức.
Nguyên nhân phù phổi cấp thường gặp ở trẻ em

Có nhiều nguyên nhân gây phù phổi cấp ở trẻ em, bao gồm:
- Nhiễm trùng: Vi khuẩn, virus hoặc nấm có thể gây viêm phổi và dẫn đến phù phổi cấp.
- Bị thương: Một chấn thương trực tiếp vào ngực hoặc phổi có thể gây ra phù phổi cấp.
- Các bệnh lý tim mạch: Một số bệnh tim mạch như suy tim, bệnh van tim hoặc bất thường về cấu trúc tim có thể gây ra phù phổi cấp.
- Các bệnh lý thận: Các vấn đề về chức năng thận có thể dẫn đến tích tụ nước trong cơ thể và gây phù phổi cấp.
- Các bệnh lý gan: Bệnh gan nhiễm mỡ, viêm gan hoặc xơ gan có thể gây ra phù phổi cấp.
Các biểu hiện cụ thể của phù phổi cấp ở trẻ em bao gồm:
- Khó thở hoặc thở nhanh hơn bình thường.
- Sự mệt mỏi và khó khăn trong việc thức dậy hoặc tham gia vào hoạt động.
- Sự sưng phù ở khuôn mặt, cổ, chân hoặc bụng.
- Các triệu chứng của nhiễm trùng như sốt, ho, đau ngực hoặc khó thở.
Chẩn đoán phân biệt phù phổi cấp

Xem thêm : Chửa trứng bán phần là gì? Có nguy hiểm không?
Để chẩn đoán phù phổi cấp ở trẻ em, các bước sau có thể được thực hiện:
- Xét nghiệm máu: Kiểm tra các chỉ số máu để xác định sự viêm nhiễm và chức năng gan và thận.
- Xét nghiệm nước tiểu: Kiểm tra nồng độ protein và các chỉ số khác trong nước tiểu để đánh giá chức năng thận.
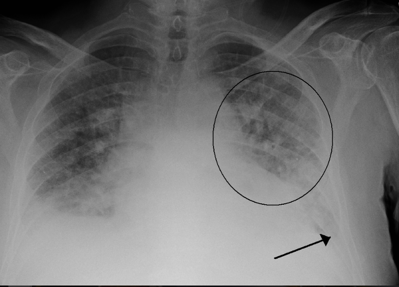
- X-ray ngực: Xem xét hình ảnh phổi để xác định sự sưng phù và tình trạng phổi.
- Siêu âm tim: Kiểm tra cấu trúc và chức năng tim để loại trừ các vấn đề tim mạch.
Điều trị phù phổi cấp như thế nào?

Nguyên tắc điều trị
- Đảm bảo đường thở: Trẻ em bị phù phổi cấp cần được đặt vào một môi trường có đủ oxy và được hỗ trợ hô hấp nếu cần thiết.
- Giảm sự tích tụ dịch: Sử dụng thuốc giảm phù và thuốc lợi tiểu để loại bỏ dịch thừa trong cơ thể.
- Điều trị nguyên nhân: Điều trị các bệnh lý cơ bản như nhiễm trùng, bệnh tim mạch, bệnh thận hoặc gan để giảm nguy cơ tái phát phù phổi cấp.
Điều trị cụ thể
- Thuốc giảm phù: Sử dụng các loại thuốc như diuretics để giảm tích tụ dịch trong cơ thể.
- Thuốc lợi tiểu: Sử dụng các loại thuốc như furosemide để tăng lượng nước được loại bỏ qua nước tiểu.
- Điều trị nhiễm trùng: Sử dụng kháng sinh hoặc thuốc kháng nấm để điều trị nhiễm trùng gây ra phù phổi cấp.
Điều trị nguyên nhân các nguyên nhân gây phù phổi cấp
- Điều trị bệnh tim mạch: Sử dụng thuốc tim mạch, phẫu thuật hoặc các biện pháp điều trị khác để điều trị các vấn đề tim mạch gây ra phù phổi cấp.
- Điều trị bệnh thận: Sử dụng thuốc và các biện pháp điều trị khác để điều trị các vấn đề thận gây ra phù phổi cấp.
- Điều trị bệnh gan: Sử dụng thuốc và các biện pháp điều trị khác để điều trị các vấn đề
Theo dõi
Sau khi điều trị phù phổi cấp ở trẻ em, việc theo dõi là rất quan trọng để đảm bảo sự phục hồi và ngăn ngừa tái phát. Các biện pháp theo dõi có thể bao gồm.
- Theo dõi mạch, huyết áp, nhịp thở, ran phổi, nhịp tim, SaO2, tĩnh mạch cổ mỗi 5 – 15 phút trong giờ đầu.
- Theo dõi garros ba chi nếu có.
- Kiểm tra khí máu.
- Khám chuyên khoa và siêu âm tim nếu cần thiết.
Việc theo dõi sẽ giúp đánh giá tình trạng sức khỏe của trẻ em và điều chỉnh phương pháp điều trị nếu cần thiết.
Các câu hỏi thường gặp
-
Phù phổi cấp ở trẻ em có nguy hiểm không?
- Phù phổi cấp ở trẻ em là một tình trạng nghiêm trọng và có thể gây suy hô hấp. Việc chữa trị và theo dõi kịp thời là rất quan trọng để đảm bảo sự phục hồi và ngăn ngừa biến chứng.
-
Làm thế nào để phòng ngừa phù phổi cấp ở trẻ em?
- Để phòng ngừa phù phổi cấp ở trẻ em, cần tuân thủ các biện pháp phòng ngừa nhiễm trùng, duy trì sức khỏe tốt, và kiểm tra định kỳ sức khỏe của trẻ.
-
Có cách nào để chăm sóc trẻ em bị phù phổi cấp tại nhà không?
- Trẻ em bị phù phổi cấp cần được chăm sóc tại bệnh viện hoặc cơ sở y tế chuyên khoa. Việc chăm sóc tại nhà không thể thay thế việc theo dõi và điều trị chuyên môn.
-
Trẻ em bị phù phổi cấp cần được nhập viện không?
- Trẻ em bị phù phổi cấp thường cần được nhập viện để được theo dõi và điều trị chuyên môn. Quyết định nhập viện sẽ được đưa ra bởi các bác sĩ chuyên khoa dựa trên tình trạng sức khỏe của trẻ.
-
Phù phổi cấp ở trẻ em có thể tái phát không?
- Phù phổi cấp ở trẻ em có thể tái phát nếu nguyên nhân gây ra không được điều trị hoặc kiểm soát tốt. Việc theo dõi và điều trị nguyên nhân gốc rễ là quan trọng để ngăn ngừa tái phát.
Nguồn: https://nilp.vn
Danh mục: Sức Khỏe
