U hạch bạch huyết là một loại ung thư máu nguy hiểm, có thể gây ra nhiều biến chứng và ảnh hưởng đến chất lượng cuộc sống của bệnh nhân. Việc chẩn đoán sớm và chính xác là rất quan trọng để đưa ra phương pháp điều trị phù hợp và cải thiện tình trạng sức khỏe của bệnh nhân. Trong đó, siêu âm là một phương pháp chẩn đoán không xâm lấn, đơn giản và hiệu quả, được sử dụng rộng rãi trong thực hành lâm sàng.

Hạch bạch huyết là gì?
Hạch bạch huyết là một phần của hệ thống miễn dịch của cơ thể, có chức năng sản xuất tế bào bạch huyết để giúp đấu tranh chống lại các bệnh tật. Hạch bạch huyết thường nằm ở vị trí gần cổ, nách, bụng và đùi.
Bệnh u hạch là gì?
Bệnh u hạch là một bệnh lý mà các tế bào bạch huyết bất thường phát triển và tăng trưởng không kiểm soát, dẫn đến sự phát triển của u hạch. U hạch có thể lành tính hoặc ác tính, và có thể xuất hiện ở bất kỳ vị trí nào trên cơ thể.
Siêu âm chẩn đoán u hạch bạch huyết bằng siêu âm

Siêu âm là một phương pháp chẩn đoán hình ảnh không xâm lấn, sử dụng sóng âm cao tần để tạo ra hình ảnh của các cơ quan và mô trong cơ thể. Siêu âm có thể được sử dụng để chẩn đoán u hạch bạch huyết bằng cách đánh giá các đặc điểm của u hạch, bao gồm:
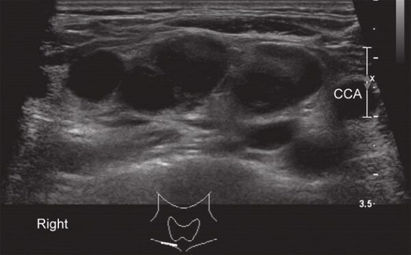
Vị trí hạch
U hạch bạch huyết là một loại ung thư bắt nguồn từ các tế bào bạch huyết trong u hạch. Siêu âm chẩn đoán u hạch bạch huyết là một phương pháp hình ảnh y tế sử dụng sóng siêu âm để tạo ra hình ảnh của u hạch và các cơ quan xung quanh.
Vị trí của u hạch nằm ở phía trên của bụng, phía trước của đùi, và phía dưới của xương sườn. Để chẩn đoán u hạch bạch huyết bằng siêu âm, bác sĩ sẽ sử dụng một máy siêu âm để tạo ra hình ảnh của u hạch và các cơ quan xung quanh. Hình ảnh này sẽ giúp bác sĩ xác định kích thước, hình dạng và vị trí của u hạch, từ đó đưa ra chẩn đoán chính xác và kế hoạch điều trị phù hợp.
Hình dạng

Xem thêm : Tác hại không tưởng khi phơi quần áo trong nhà
Siêu âm có thể đánh giá hình dạng của u hạch, bao gồm đối xứng và đường viền.
Độ hồi âm
Độ hồi âm của u hạch có thể được đánh giá bằng cách sử dụng siêu âm.
Kích thước
Siêu âm có thể đo kích thước của u hạch.
Đánh giá hạch lành – ác
Siêu âm có thể đánh giá tính ác tính của u hạch bằng cách đánh giá các đặc điểm của nó, bao gồm kích thước, hình dạng và độ hồi âm.
Chẩn đoán nguyên nhân u hạch bạch huyết
Để chẩn đoán nguyên nhân u hạch bạch huyết, các bước sau có thể được thực hiện:
- Khám bệnh và lấy lịch sử bệnh: Bác sĩ sẽ hỏi về các triệu chứng và dấu hiệu của bệnh như sốt, mệt mỏi, đau đầu, đau xương, và các bệnh lý khác. Bác sĩ cũng sẽ hỏi về lịch sử bệnh của bạn và lịch sử bệnh trong gia đình.
- Kiểm tra máu: Một số xét nghiệm máu có thể được thực hiện để xác định sự hiện diện của các tế bào bạch cầu không phát triển đầy đủ và tích tụ trong u hạch. Các xét nghiệm này bao gồm đếm tế bào máu, đo nồng độ hemoglobin, đo nồng độ bạch cầu và đo nồng độ tiểu cầu.
- Xét nghiệm tủy xương: Nếu các xét nghiệm máu cho thấy sự hiện diện của u hạch bạch huyết, bác sĩ có thể yêu cầu xét nghiệm tủy xương để xác định nguyên nhân của bệnh. Xét nghiệm tủy xương bao gồm lấy mẫu tủy xương từ xương chậu hoặc xương đùi và kiểm tra các tế bào trong mẫu.
- Các xét nghiệm khác: Ngoài các xét nghiệm trên, bác sĩ có thể yêu cầu các xét nghiệm khác như xét nghiệm chức năng gan, xét nghiệm chức năng thận, xét nghiệm chức năng tuyến giáp, và xét nghiệm chức năng tim.
Câu hỏi thường gặp
Siêu âm u hạch bạch huyết có đau không?
Không, siêu âm u hạch bạch huyết là một phương pháp chẩn đoán không xâm lấn và không gây đau.
Siêu âm u hạch bạch huyết có an toàn không?
Có, siêu âm u hạch bạch huyết là một phương pháp chẩn đoán an toàn và không gây tác dụng phụ đáng kể.
Cần chuẩn bị gì trước khi thực hiện siêu âm u hạch bạch huyết?
Không cần chuẩn bị gì đặc biệt trước khi thực hiện siêu âm u hạch bạch huyết. Tuy nhiên, bạn nên đeo quần áo thoải mái và tránh đeo các vật dụng kim loại trên cơ thể.
Nguồn: https://nilp.vn
Danh mục: Sức Khỏe
