U màng não là một bệnh lý nghiêm trọng ảnh hưởng đến hệ thống thần kinh trung ương. Bệnh này xảy ra khi các tế bào bất thường tăng trưởng trên bề mặt của màng não, gây áp lực lên các cơ quan và mô xung quanh. U màng não có thể gây ra các triệu chứng như đau đầu, buồn nôn, chóng mặt, khó thở và tê liệt. Để điều trị u màng não, các bác sĩ sẽ xem xét quyết định điều trị và theo dõi tiến triển của bệnh.
- Phương pháp giúp dồi dào sinh lực
- Những câu hỏi thường gặp khi chụp PET/CT
- Các bệnh viêm nhiễm phụ khoa ở phụ nữ?
- Phương pháp phòng ngừa ung thư cổ tử cung mà bạn cần biết
- Vai trò của nội soi phế quản ống mềm có sử dụng nguồn sáng NBI trong tầm soát tổn thương phế quản giai đoạn tiền ung thư và ung thư ở những đối tượng có nguy cơ cao

U màng não là gì?
U màng não là một bệnh lý nghiêm trọng ảnh hưởng đến hệ thống thần kinh trung ương. Bệnh này xảy ra khi các tế bào bất thường tăng trưởng trên bề mặt của màng não, gây áp lực lên các cơ quan và mô xung quanh. U màng não có thể gây ra các triệu chứng như đau đầu, buồn nôn, chóng mặt, khó thở và tê liệt.
Nguyên nhân
- Tổn thương do chấn thương: Một số trường hợp bệnh u màng não có thể do tổn thương đầu gây ra. Đây có thể là kết quả của tai nạn, va chạm hoặc các hoạt động thể thao mạo hiểm.
- Di truyền: Một số trường hợp bệnh u màng não có thể do di truyền. Nếu trong gia đình có người mắc bệnh u màng não, nguy cơ mắc bệnh sẽ cao hơn so với những người không có tiền sử bệnh này.
- Nhiễm trùng: Một số bệnh nhiễm trùng có thể gây ra bệnh u màng não. Các bệnh nhiễm trùng này bao gồm viêm não, viêm màng não và bệnh lao.
- Ung thư: Một số loại ung thư có thể lan sang não và gây ra bệnh u màng não. Các loại ung thư này bao gồm ung thư phổi, ung thư vú và ung thư da.
- Tác động của thuốc: Một số loại thuốc có thể gây ra bệnh u màng não. Điều này có thể xảy ra khi sử dụng thuốc trong thời gian dài hoặc sử dụng liều cao.
Dấu hiệu nhận biết
- Đau đầu: Đau đầu là triệu chứng phổ biến nhất của bệnh u màng não. Đau đầu thường xuyên và nặng hơn vào buổi sáng hoặc khi thay đổi vị trí.
- Buồn nôn và nôn mửa: Buồn nôn và nôn mửa là dấu hiệu khác của bệnh u màng não. Đây là do áp lực của u lên các cơ quan tiêu hóa.
- Suy giảm thị lực: U màng não có thể gây ra suy giảm thị lực, bao gồm mờ mắt, giảm khả năng nhìn rõ và thậm chí là mù tạm thời.
- Suy giảm trí nhớ và khả năng tập trung: U màng não có thể gây ra suy giảm trí nhớ và khả năng tập trung.
- Co giật: Co giật là một triệu chứng khác của bệnh u màng não. Co giật có thể xảy ra khi u ảnh hưởng đến các vùng não liên quan đến hoạt động điện cực của não.
Phương pháp chẩn đoán
Để chẩn đoán bệnh u màng não, các bác sĩ thường sử dụng một số phương pháp khác nhau, bao gồm:
- Thăm khám và kiểm tra lâm sàng: Bác sĩ sẽ thăm khám bệnh nhân và kiểm tra các triệu chứng và dấu hiệu của bệnh, bao gồm đau đầu, buồn nôn, nôn mửa, chóng mặt, và khó khăn trong việc tập trung.
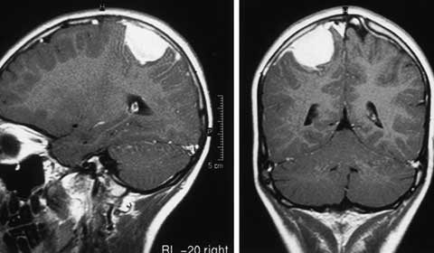
- Chụp cắt lớp vi tính (CT) hoặc cộng hưởng từ (MRI): Đây là hai phương pháp chẩn đoán chính để xác định có tồn tại khối u trong não hay không. CT scan sử dụng tia X để tạo ra hình ảnh của não, trong khi MRI sử dụng từ trường và sóng vô tuyến để tạo ra hình ảnh chi tiết hơn.
- Xét nghiệm dịch não tủy: Bác sĩ có thể thu dịch não tủy để kiểm tra xem có tế bào ung thư hoặc các dấu hiệu khác của bệnh lý trong dịch này.
- Sinh thiết: Nếu các phương pháp trên không đủ để xác định chính xác loại khối u, bác sĩ có thể tiến hành sinh thiết để lấy mẫu tế bào và kiểm tra chúng dưới kính hiển vi.
Xem xét quyết định điều trị
Xem thêm : Dấu hiệu cảnh báo về bệnh tim
Để xem xét quyết định điều trị u màng não, các bác sĩ sẽ đánh giá mức độ nghiêm trọng của bệnh và các triệu chứng của bệnh nhân. Các yếu tố khác như tuổi, tình trạng sức khỏe và lịch sử bệnh lý cũng được xem xét. Sau đó, các bác sĩ sẽ đưa ra quyết định điều trị phù hợp nhất cho bệnh nhân.
Theo dõi tiến triển của bệnh

Sau khi quyết định điều trị, các bác sĩ sẽ theo dõi tiến triển của bệnh nhân. Theo dõi này có thể bao gồm các xét nghiệm hình ảnh như MRI hoặc CT scan để đánh giá kích thước của u. Nếu u màng não không tăng trưởng hoặc không gây ra triệu chứng, các bác sĩ có thể quyết định không điều trị.
Các lựa chọn điều trị u màng não
Các lựa chọn điều trị u màng não bao gồm:
Can thiệp phẫu thuật
- Phẫu thuật loại bỏ u màng não: Đây là phương pháp phẫu thuật thông thường nhất để điều trị u màng não. Quá trình này bao gồm loại bỏ toàn bộ hoặc một phần của u màng não. Phẫu thuật loại bỏ u màng não có thể được thực hiện bằng cách mở đầu hộp sọ hoặc thông qua các kỹ thuật phẫu thuật tiên tiến hơn như phẫu thuật thông qua mũi khoan.
- Phẫu thuật giảm áp lực trong đầu: Phương pháp này được sử dụng để giảm áp lực trong đầu bằng cách đặt một ống thông qua sọ và vào trong não để giảm áp lực bên trong đầu. Phương pháp này được sử dụng khi u màng não gây ra tình trạng áp lực bên trong đầu cao.
- Phẫu thuật tạo lỗ thông qua sọ: Phương pháp này được sử dụng để loại bỏ một phần của u màng não bằng cách tạo một lỗ thông qua sọ. Quá trình này có thể được thực hiện thông qua các kỹ thuật phẫu thuật tiên tiến hơn như phẫu thuật thông qua mũi khoan.
- Phẫu thuật tạo lỗ thông qua mũi khoan: Đây là phương pháp phẫu thuật tiên tiến hơn để loại bỏ u màng não. Quá trình này bao gồm tạo một lỗ nhỏ thông qua sọ bằng cách sử dụng mũi khoan và loại bỏ u màng não thông qua lỗ này.
Phương pháp xạ trị
- Xạ trị ngoài cơ thể (EBRT): Đây là phương pháp xạ trị thông thường nhất cho u màng não. EBRT sử dụng tia X hoặc tia gamma để tiêu diệt tế bào ung thư. Phương pháp này thường được thực hiện trong một số tuần liên tiếp.
- Xạ trị nội soi (brachytherapy): Phương pháp này sử dụng các nguồn phóng xạ được đặt trực tiếp vào u màng não. Brachytherapy thường được sử dụng cho các u màng não nhỏ và có thể được thực hiện trong một lần duy nhất.
- Xạ trị tương tự như proton (proton therapy): Phương pháp này sử dụng các hạt proton để tiêu diệt tế bào ung thư. Proton therapy có thể giúp giảm thiểu tác động của xạ trị lên các cơ quan xung quanh và giảm nguy cơ phát triển các bệnh phụ sau điều trị.
- Xạ trị hỗ trợ (adjuvant radiation therapy): Phương pháp này được sử dụng sau khi phẫu thuật để tiêu diệt các tế bào ung thư còn sót lại. Adjuvant radiation therapy có thể giúp giảm nguy cơ tái phát của u màng não.
Sử dụng hóa trị
Hóa trị là một phương pháp điều trị u màng não bằng cách sử dụng các loại thuốc chống ung thư. Hóa trị có thể được sử dụng trước hoặc sau phẫu thuật để giảm kích thước của u hoặc ngăn ngừa sự tái phát. Trong trường hợp sử dụng hóa trị, có một số lựa chọn điều trị như sau:
- Hóa trị đơn thuốc: Sử dụng một loại thuốc hóa trị như methotrexate, cytarabine hoặc temozolomide để tiêu diệt tế bào ung thư. Thuốc được tiêm trực tiếp vào tĩnh mạch hoặc uống qua miệng.
- Hóa trị kết hợp: Sử dụng nhiều loại thuốc hóa trị khác nhau để tăng hiệu quả điều trị. Ví dụ, sử dụng một kết hợp của temozolomide và procarbazine.
- Hóa trị tiền phẫu thuật: Sử dụng hóa trị trước khi phẫu thuật để thu nhỏ u và giảm khối lượng của nó, giúp phẫu thuật dễ dàng hơn và giảm nguy cơ tái phát.
- Hóa trị hậu phẫu thuật: Sử dụng hóa trị sau khi phẫu thuật để tiêu diệt các tế bào ung thư còn lại và giảm nguy cơ tái phát.
Các điều trị thay thế khác
Xem thêm : Những lưu ý khi dùng vitamin, khoáng chất cho bà bầu
Các phương pháp điều trị thay thế khác bao gồm điều trị bằng thuốc kháng histamin, điều trị bằng thuốc kháng viêm và điều trị bằng thuốc kháng sinh.

Câu hỏi thường gặp
U màng não có thể tự khỏi không?
Không, u màng não không thể tự khỏi. Nếu không được điều trị, u có thể tăng trưởng và gây ra các triệu chứng nghiêm trọng.
U màng não có thể tái phát sau khi điều trị không?
Có, u màng não có thể tái phát sau khi điều trị. Tuy nhiên, các phương pháp điều trị hiện đại có thể giảm thiểu nguy cơ tái phát.
U màng não có thể gây ra biến chứng không?
Có, u màng não có thể gây ra các biến chứng nghiêm trọng như tổn thương thần kinh và tử vong. Tuy nhiên, nếu được phát hiện và điều trị kịp thời, nguy cơ này có thể giảm thiểu.
Nguồn: https://nilp.vn
Danh mục: Sức Khỏe
