U nguyên bào thần kinh là một loại ung thư hiếm gặp, xuất phát từ các tế bào thần kinh. Bệnh này có thể ảnh hưởng đến hệ thần kinh và gây ra các triệu chứng và dấu hiệu khác nhau. Trong bài viết này, chúng tôi sẽ trình bày về các triệu chứng, chẩn đoán, điều trị và tiên lượng của u nguyên bào thần kinh.
- Tác hại không tưởng của việc sử dụng thuốc tránh thai
- Triệu chứng và cách phòng tránh ung thư tinh hoàn
- Cải thiện rối loạn đại tiểu tiện ở bệnh nhi bị dị tật hở cột sống sau khi truyền tế bào gốc đơn nhân tự thân từ tuỷ xương
- Mẹ bầu ăn nhiều – Con có thông minh?
- Những phương thuốc gia truyền giúp các chị em luôn trẻ đẹp

Các triệu chứng và dấu hiệu của u nguyên bào thần kinh
U nguyên bào thần kinh là một loại ung thư hiếm gặp, bắt nguồn từ các tế bào thần kinh trong hệ thống thần kinh. Dưới đây là một số triệu chứng và dấu hiệu thường gặp của u nguyên bào thần kinh:
- Đau đầu: Đau đầu là triệu chứng phổ biến nhất của u nguyên bào thần kinh. Đau đầu có thể kéo dài và không giảm sau khi sử dụng thuốc giảm đau.
- Suy giảm thị lực: U nguyên bào thần kinh có thể gây ra suy giảm thị lực, mờ mắt hoặc thậm chí là mù lòa.
- Rối loạn cảm giác: U nguyên bào thần kinh có thể gây ra rối loạn cảm giác, bao gồm cảm giác tê bì, đau nhức hoặc khó chịu.
- Rối loạn vận động: U nguyên bào thần kinh có thể gây ra rối loạn vận động, bao gồm khó khăn trong việc đi lại, mất cân bằng hoặc co giật.
- Rối loạn nói: U nguyên bào thần kinh có thể gây ra rối loạn nói, bao gồm khó nói hoặc nói lắp.
- Rối loạn tình dục: U nguyên bào thần kinh có thể gây ra rối loạn tình dục, bao gồm giảm ham muốn tình dục hoặc khó khăn trong việc đạt được cương cứng.

Chẩn đoán u nguyên bào thần kinh
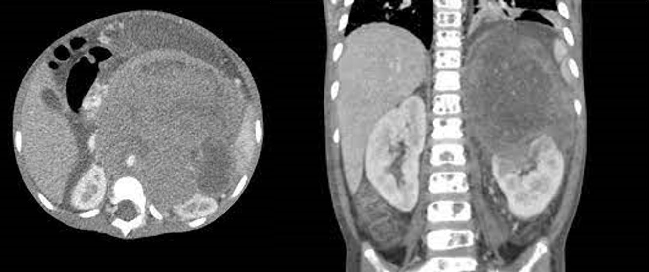
Để chẩn đoán u nguyên bào thần kinh, các bác sĩ sẽ thực hiện một số xét nghiệm và quan sát các triệu chứng của bệnh nhân. Các xét nghiệm này có thể bao gồm chụp cắt lớp vi tính (CT), chụp cộng hưởng từ (MRI), xét nghiệm máu và xét nghiệm thần kinh. Nếu có nghi ngờ về u nguyên bào thần kinh, bác sĩ có thể tiến hành thủ thuật lấy mẫu tế bào để xác định chẩn đoán.
Phân loại giai đoạn u nguyên bào thân kinh
Xem thêm : Khâu vòng thu hẹp lỗ cổ tử cung là gì? Tai biến có thể gặp sau khâu vòng cổ tử cung
U nguyên bào thần kinh được phân loại thành 4 giai đoạn khác nhau, từ giai đoạn 1 (bệnh nhẹ) đến giai đoạn 4 (bệnh nặng). Phân loại này dựa trên kích thước của u, vị trí và mức độ ảnh hưởng đến hệ thần kinh.
Phân tầng nguy cơ u nguyên bào thần kinh
Các yếu tố nguy cơ cho u nguyên bào thần kinh bao gồm tuổi, giới tính, di truyền, và môi trường. Những người có tiền sử gia đình về u nguyên bào thần kinh hoặc đã tiếp xúc với các chất gây ung thư có thể có nguy cơ cao hơn.
Điều trị u nguyên bào thần kinh

- Phẫu thuật: Phẫu thuật là phương pháp điều trị chính cho u nguyên bào thần kinh. Phẫu thuật có thể được sử dụng để loại bỏ hoặc giảm kích thước của u. Tuy nhiên, phẫu thuật có thể gây ra các tác dụng phụ và có thể không phù hợp cho một số bệnh nhân.
- Phóng xạ: Phóng xạ là một phương pháp điều trị khác cho u nguyên bào thần kinh. Phóng xạ có thể được sử dụng để giảm kích thước của u hoặc để giảm đau và các triệu chứng khác. Tuy nhiên, phóng xạ cũng có thể gây ra các tác dụng phụ và không phù hợp cho một số bệnh nhân.
- Hóa trị: Hóa trị là một phương pháp điều trị khác cho u nguyên bào thần kinh. Hóa trị có thể được sử dụng để giảm kích thước của u hoặc để giảm đau và các triệu chứng khác. Tuy nhiên, hóa trị cũng có thể gây ra các tác dụng phụ và không phù hợp cho một số bệnh nhân.
- Theo dõi chặt chẽ: Theo dõi chặt chẽ là một phương pháp quan trọng để theo dõi sự phát triển của u nguyên bào thần kinh. Bác sĩ có thể sử dụng các phương pháp hình ảnh như siêu âm, CT hoặc MRI để theo dõi sự phát triển của u và đánh giá hiệu quả của các phương pháp điều trị.
Tiên lượng về u nguyên bào thần kinh
Tiên lượng của u nguyên bào thần kinh phụ thuộc vào nhiều yếu tố, bao gồm giai đoạn của bệnh, kích thước của u, vị trí của u và tình trạng sức khỏe của bệnh nhân. Tuy nhiên, với các phương pháp điều trị hiện đại, tỷ lệ sống sót của bệnh nhân đã được cải thiện đáng kể.
Câu hỏi thường gặp
U nguyên bào thần kinh có phổ biến không?
Xem thêm : Phương pháp điều trị ung thư gan phổ biến hiện nay
U nguyên bào thần kinh là một loại ung thư hiếm gặp.
Các triệu chứng của u nguyên bào thần kinh là gì?
Các triệu chứng của u nguyên bào thần kinh có thể bao gồm đau đầu, chóng mặt, mất cân bằng, khó khăn trong việc điều khiển cơ thể, giảm sức mạnh cơ bắp, tê liệt, giảm thị lực, và các vấn đề về thị giác khác.
Làm thế nào để chẩn đoán u nguyên bào thần kinh?
Để chẩn đoán u nguyên bào thần kinh, các bác sĩ sẽ thực hiện một số xét nghiệm và quan sát các triệu chứng của bệnh nhân. Các xét nghiệm này có thể bao gồm chụp cắt lớp vi tính (CT), chụp cộng hưởng từ (MRI), xét nghiệm máu và xét nghiệm thần kinh.
Nguồn: https://nilp.vn
Danh mục: Sức Khỏe
