Ung thư khoang miệng là một trong những loại ung thư nguy hiểm và khó chữa trị. Việc phát hiện sớm và điều trị kịp thời là rất quan trọng để tăng cơ hội sống sót cho bệnh nhân. Tuy nhiên, để đưa ra phương án điều trị hiệu quả, các chuyên gia y tế cần phải biết thời gian ủ bệnh của ung thư khoang miệng. Trong bài viết này, chúng tôi sẽ giúp bạn hiểu rõ hơn về thời gian ủ bệnh của loại ung thư này.
- Một số phương pháp phòng ngừa dị vật đường thở của trẻ em
- Bệnh viêm tiểu khung là gì? Viêm tiểu khung và những biến chứng
- Nguyên nhân gây đau lưng khi mang thai? Làm sao để giảm đau lưng khi mang thai?
- Thai lưu là gì? Nguyên nhân và nguy cơ gây thai lưu?
- Sởi là gì? Hướng dẫn phòng ngừa và xử lý sởi ở trẻ

Ung thư khoang miệng là gì?
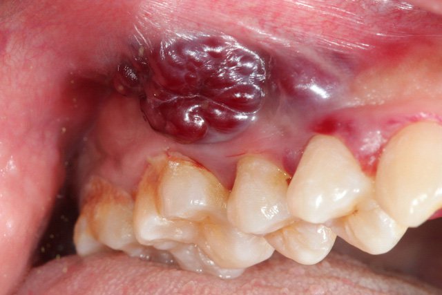
Ung thư khoang miệng là một loại ung thư ác tính xuất hiện tại vùng khoang miệng bao gồm: lưỡi, lợi hàm dưới, niêm mạc má, sàn miệng, lợi hàm trên.
Nguyên nhân gây ung thư khoang miệng
- Hút thuốc lá: Hút thuốc lá là một trong những nguyên nhân chính gây ung thư khoang miệng. Thuốc lá chứa các hóa chất độc hại, gây tổn thương cho các tế bào trong khoang miệng và có thể dẫn đến sự phát triển của các khối u.
- Sử dụng rượu: Sử dụng rượu cũng là một nguyên nhân gây ung thư khoang miệng. Rượu chứa cồn, một chất độc hại có thể gây tổn thương cho các tế bào trong khoang miệng và dẫn đến sự phát triển của các khối u.
- Viêm nhiễm: Viêm nhiễm trong khoang miệng có thể gây ra sự phát triển của các khối u. Viêm nhiễm có thể được gây ra bởi vi khuẩn hoặc virus.
- Di truyền: Một số trường hợp ung thư khoang miệng có thể được di truyền từ các thế hệ trước.
- Tiếp xúc với chất độc hại: Tiếp xúc với các chất độc hại như asbest, amiang và các hóa chất khác có thể gây ung thư khoang miệng.
- Tình trạng miệng khô: Tình trạng miệng khô có thể gây ra sự phát triển của các khối u. Miệng khô có thể được gây ra bởi các loại thuốc hoặc các bệnh lý khác.
Triệu chứng ung thư khoang miệng

Các triệu chứng của ung thư khoang miệng bao gồm: vết loét bên trong má hoặc môi không lành, có thể sờ thấy một cục u hoặc mảng màu đỏ trắng trong miệng, răng hoặc răng giả có thể bị lung lay mà không rõ lý do, miệng xuất hiện các vết loét giống nhiệt miệng nhưng kéo dài hơn 2 tuần không khỏi, gây nóng rát, đau đớn trong miệng, vận động lưỡi và tri giác kém, lưỡi bị tê và mất cảm giác, chảy máu khoang miệng.
Ðiều trị ung thư khoang miệng
Ðiều trị ung thư khoang miệng phụ thuộc vào giai đoạn của bệnh, kích thước của khối u, vị trí của khối u, và tình trạng sức khỏe của bệnh nhân. Các phương pháp điều trị bao gồm phẫu thuật, xạ trị, hóa trị, và điều trị bằng tia laser. Để điều trị ung thư khoang miệng, các phương pháp sau có thể được sử dụng:
- Phẫu thuật: Đây là phương pháp điều trị chính cho ung thư khoang miệng. Phẫu thuật có thể bao gồm loại bỏ một phần hoặc toàn bộ khoang miệng, tùy thuộc vào mức độ lan rộng của ung thư.
- Hóa trị: Hóa trị là phương pháp sử dụng các loại thuốc để tiêu diệt tế bào ung thư. Hóa trị có thể được sử dụng trước hoặc sau phẫu thuật.
- Bức xạ: Bức xạ được sử dụng để tiêu diệt tế bào ung thư bằng cách sử dụng tia X hoặc tia gamma. Bức xạ có thể được sử dụng trước hoặc sau phẫu thuật.
- Kết hợp các phương pháp: Trong một số trường hợp, các phương pháp trên có thể được kết hợp để tăng cường hiệu quả điều trị.

Thời gian từ giai đoạn ủ bệnh đến khi biểu hiện bệnh
Xem thêm : Loãng xương ở phụ nữ mãn kinh: Những điều cần biết
Thời gian từ giai đoạn ủ bệnh đến khi biểu hiện bệnh có thể khác nhau tùy thuộc vào loại bệnh và cơ thể của từng người. Trong một số trường hợp, thời gian này có thể kéo dài từ vài giờ đến vài ngày, trong khi đối với những bệnh lây truyền nguy hiểm, thời gian ủ bệnh có thể kéo dài đến vài tuần.Ví dụ, trong trường hợp của bệnh cúm, thời gian ủ bệnh thường là từ 1 đến 4 ngày, trong khi đối với bệnh COVID-19, thời gian ủ bệnh có thể kéo dài từ 2 đến 14 ngày.
Trong trường hợp của bệnh lao, thời gian ủ bệnh có thể kéo dài đến vài tháng.Tuy nhiên, trong một số trường hợp, người bệnh có thể không có triệu chứng trong giai đoạn ủ bệnh và chỉ bắt đầu biểu hiện khi bệnh đã phát triển đến mức độ nghiêm trọng hơn.
Theo dõi sau điều trị ung thư khoang miệng
Sau khi điều trị ung thư khoang miệng, bệnh nhân cần được theo dõi thường xuyên để phát hiện sớm các dấu hiệu tái phát của bệnh. Các phương pháp theo dõi bao gồm kiểm tra sức khỏe định kỳ, siêu âm, chụp X-quang, CT scan, MRI, và PET scan.
Phòng bệnh ung thư khoang miệng
Để phòng bệnh ung thư khoang miệng, bạn có thể thực hiện các biện pháp như không hút thuốc lá, không uống rượu bia, ăn uống đầy đủ chất dinh dưỡng, chăm sóc răng miệng đúng cách, và thường xuyên kiểm tra sức khỏe định kỳ.
Câu hỏi thường gặp
-
Ung thư khoang miệng có thể chữa khỏi không?
Ung thư khoang miệng hoàn toàn có thể chữa khỏi nếu phát hiện sớm. Vì vậy, nhận biết sớm các dấu hiệu của bệnh để đưa ra phương pháp điều trị kịp thời là rất quan trọng. -
.Có những biện pháp phòng bệnh ung thư khoang miệng nào?
Để phòng bệnh ung thư khoang miệng, bạn có thể thực hiện các biện pháp như không hút thuốc lá, không uống rượu bia, ăn uống đầy đủ chất dinh dưỡng, chăm sóc răng miệng đúng cách, và thường xuyên kiểm tra sức khỏe định kỳ.
Nguồn: https://nilp.vn
Danh mục: Sức Khỏe
