Ung thư amidan khẩu cái là một loại ung thư hiếm gặp, phát triển từ các tế bào trong amidan hoặc mô liên kết amidan. Bệnh này thường được chẩn đoán ở những người trên 50 tuổi và có thể lan sang các cơ quan khác trong cơ thể. Trong bài viết này, chúng ta sẽ tìm hiểu về ung thư amidan khẩu cái, các yếu tố nguy cơ, chẩn đoán lâm sàng và điều trị.
- Chuyển dạ ở bà bầu: Nên đến bệnh viện lúc nào?
- Soi cổ tử cung – biện pháp giúp phát hiện sớm ung thư cổ tử cung
- Teo âm đạo là gì? Cách điều trị teo âm đạo
- Những nguyên nhân gây chảy máu khi chuyển dạ và sinh con? Phòng ngừa chảy máu khi sinh con bằng cách nào?
- Bệnh rò hậu môn: Nguyên nhân và triệu chứng

Ung thư amidan khẩu cái là bệnh gì?
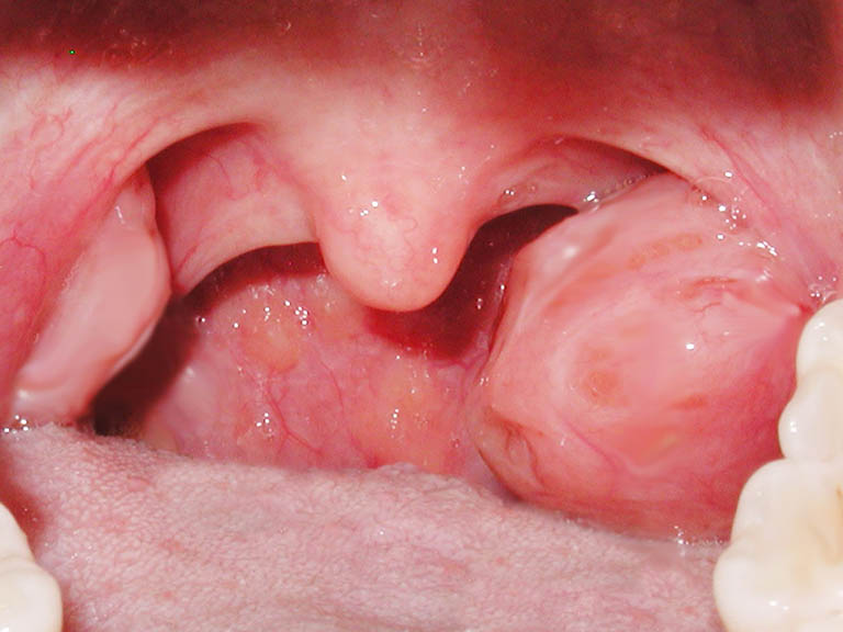
Ung thư amidan khẩu cái là một loại ung thư phát triển từ các tế bào trong amidan hoặc mô liên kết amidan. Amidan là một cụm tế bào nhỏ nằm ở phía sau của họng, giữa hai cột họng và giữa lưỡi và họng. Ung thư amidan khẩu cái là một loại ung thư hiếm gặp, chiếm khoảng 1% trong tổng số các loại ung thư.
Các yếu tố nguy cơ
Amidan là một cụm mô hình thành một vòng tròn ở phía sau hầu hết của miệng và nó có chức năng bảo vệ cơ thể khỏi các vi khuẩn và virus. Tuy nhiên, nếu amidan bị viêm hoặc nhiễm trùng liên tục, nó có thể dẫn đến ung thư amidan. Dưới đây là một số yếu tố nguy cơ ung thư amidan khẩu cái:
- Hút thuốc: Hút thuốc là một trong những yếu tố nguy cơ chính gây ung thư amidan. Thuốc lá chứa các hóa chất độc hại có thể gây ra sự biến đổi gen và tăng nguy cơ ung thư.
- Tiếp xúc với hóa chất độc hại: Tiếp xúc với các hóa chất độc hại như formaldehyde, benzen, và asbest có thể gây ung thư amidan.
- Nhiễm virus HPV: Virus HPV (Human Papillomavirus) là một trong những yếu tố nguy cơ chính gây ung thư amidan. Virus này có thể lây lan qua quan hệ tình dục và gây ra các biến đổi gen trong tế bào amidan.
- Tình trạng miễn dịch suy yếu: Những người có hệ miễn dịch suy yếu do bệnh lý hoặc thuốc uống có thể dễ dàng bị nhiễm trùng và viêm amidan, từ đó dẫn đến nguy cơ ung thư.
- Tuổi tác: Nguy cơ ung thư amidan tăng lên với tuổi tác, đặc biệt là ở những người trên 50 tuổi.
- Di truyền: Các yếu tố di truyền cũng có thể góp phần vào nguy cơ ung thư amidan.
Để giảm nguy cơ ung thư amidan, bạn nên tránh hút thuốc, giảm tiếp xúc với các hóa chất độc hại, tăng cường hệ miễn dịch, và thường xuyên kiểm tra sức khỏe để phát hiện sớm các dấu hiệu của ung thư amidan.

Chẩn đoán lâm sàng
Ung thư amidan khẩu cái có thể được chẩn đoán thông qua các phương pháp chẩn đoán lâm sàng như siêu âm, chụp cắt lớp vi tính (CT), chụp cộng hưởng từ (MRI) và xét nghiệm tế bào ung thư.
Ung thư biểu mô amidan khẩu cái
Ung thư biểu mô amidan khẩu cái có thể được chia thành các giai đoạn khác nhau, bao gồm:
Giai đoạn khởi phát
Xem thêm : Ung thư tế bào gan – Những điều bạn cần biết
Để chẩn đoán lâm sàng ung thư amidan khẩu cái giai đoạn khởi phát, các bước sau có thể được thực hiện:
- Khám lâm sàng: Bác sĩ sẽ hỏi về các triệu chứng của bệnh như đau họng, khó nuốt, ho, sưng cổ, và các triệu chứng khác. Bác sĩ cũng sẽ kiểm tra cổ, miệng và họng của bệnh nhân để tìm các dấu hiệu của ung thư.
- Siêu âm cổ: Siêu âm cổ là một phương pháp hình ảnh không xâm lấn để xem xét các khối u trong cổ. Nó có thể giúp xác định kích thước và vị trí của khối u.
- Xét nghiệm máu: Xét nghiệm máu có thể được sử dụng để đánh giá chức năng gan và thận của bệnh nhân, cũng như để tìm kiếm các dấu hiệu của ung thư.
- Sinh thiết: Sinh thiết là phương pháp xác định chính xác loại ung thư và giai đoạn của nó. Bác sĩ sẽ lấy một mẫu tế bào từ khối u để xem xét dưới kính hiển vi.
- CT hoặc MRI: CT hoặc MRI có thể được sử dụng để xác định kích thước và vị trí của khối u, cũng như để xác định xem ung thư đã lan ra ngoài amidan hay chưa.
Giai đoạn rõ rệt
Để chẩn đoán lâm sàng ung thư amidan khẩu cái giai đoạn rõ rệt, các bước chẩn đoán sau đây có thể được thực hiện:
- Khám lâm sàng: Bác sĩ sẽ thực hiện một cuộc khám lâm sàng để kiểm tra các triệu chứng và dấu hiệu của bệnh như đau họng, khó nuốt, ho, sưng cổ, và các triệu chứng khác.
- Kiểm tra họng: Bác sĩ sẽ thực hiện một kiểm tra họng để xem có bất thường nào trong vùng amidan hay không.
- Siêu âm và chụp X-quang: Siêu âm và chụp X-quang có thể được sử dụng để xác định kích thước và vị trí của khối u.
- Biopsy: Biopsy là một phương pháp chẩn đoán chính xác nhất để xác định ung thư amidan khẩu cái. Bác sĩ sẽ lấy một mẫu tế bào từ khối u để kiểm tra xem chúng có chứa tế bào ung thư hay không.
- CT scan và MRI: CT scan và MRI có thể được sử dụng để xác định kích thước và vị trí của khối u, cũng như xác định xem ung thư đã lan sang các cơ quan khác hay chưa.
Tiến triển của bệnh
Ung thư đã lan rộng và ảnh hưởng đến nhiều cơ quan khác trong cơ thể.
Ung thư mô liên kết amidan
Ung thư mô liên kết amidan cũng có thể được chia thành các giai đoạn khác nhau, bao gồm:
Giai đoạn khởi phát
Việc chẩn đoán lâm sàng ung thư mô liên kết amidan giai đoạn khởi phát thường bao gồm các bước sau:
- Tiến hành một cuộc khám lâm sàng kỹ lưỡng: Bác sĩ sẽ hỏi về các triệu chứng và dấu hiệu của bệnh như ho, khó thở, đau họng, khó nuốt, và sưng cổ. Bác sĩ cũng sẽ kiểm tra cổ, tai, mũi, và họng để tìm các dấu hiệu của bệnh.
- Tiến hành các xét nghiệm hình ảnh: Bác sĩ có thể yêu cầu bệnh nhân tiến hành các xét nghiệm hình ảnh như siêu âm, CT hoặc MRI để xác định kích thước và vị trí của khối u.
- Tiến hành xét nghiệm sinh hóa máu: Bác sĩ có thể yêu cầu bệnh nhân tiến hành xét nghiệm máu để kiểm tra các chỉ số sinh hóa và chức năng gan và thận.
- Tiến hành xét nghiệm khối u: Bác sĩ có thể yêu cầu bệnh nhân tiến hành xét nghiệm khối u để xác định loại ung thư và mức độ nghiêm trọng của bệnh.
- Tiến hành xét nghiệm vi sinh vật: Bác sĩ có thể yêu cầu bệnh nhân tiến hành xét nghiệm vi sinh vật để xác định loại vi khuẩn hoặc virus gây ra bệnh.
Giai đoạn rõ rệt
Để chẩn đoán lâm sàng ung thư mô liên kết amidan giai đoạn rõ rệt, các bước chẩn đoán sau có thể được thực hiện:
- Khám lâm sàng: Bác sĩ sẽ hỏi về tiền sử bệnh của bệnh nhân và các triệu chứng hiện tại. Các triệu chứng của ung thư mô liên kết amidan có thể bao gồm khó thở, khàn tiếng, đau họng, ho, và khó nuốt.
- Khám cơ thể: Bác sĩ sẽ kiểm tra các dấu hiệu của bệnh nhân, bao gồm cả việc kiểm tra vùng cổ và họng.
- Siêu âm và chụp X-quang: Các kỹ thuật hình ảnh này có thể được sử dụng để xác định kích thước và vị trí của khối u.
- Biopsy: Việc lấy mẫu tế bào từ khối u và kiểm tra chúng dưới kính hiển vi có thể xác định liệu khối u có chứa tế bào ung thư hay không.
- CT hoặc MRI: Các kỹ thuật hình ảnh này có thể được sử dụng để xác định phạm vi của khối u và xác định liệu nó đã lan sang các cơ quan khác trong cơ thể.
Tiến triển của bệnh
Ung thư đã lan rộng và ảnh hưởng đến nhiều cơ quan khác trong cơ thể.
Điều trị ung thư amidan khẩu cái

Xem thêm : Nấm âm đạo là gì? Vì sao bệnh nấm âm đạo hay tái phát?
Điều trị ung thư amidan khẩu cái phụ thuộc vào giai đoạn của bệnh và tình trạng sức khỏe của bệnh nhân. Các phương pháp điều trị bao gồm phẫu thuật, hóa trị và xạ trị.
Ung thư biểu mô amidan khẩu cái
Ung thư biểu mô amidan khẩu cái là một loại ung thư phát triển từ các tế bào trong niêm mạc của amidan. Điều trị ung thư amidan khẩu cái phụ thuộc vào nhiều yếu tố, bao gồm loại và giai đoạn của ung thư, tuổi và tình trạng sức khỏe của bệnh nhân.
Các phương pháp điều trị chính cho ung thư amidan khẩu cái bao gồm phẫu thuật, xạ trị và hóa trị. Phẫu thuật có thể được sử dụng để loại bỏ toàn bộ hoặc một phần của amidan, tùy thuộc vào mức độ phát triển của ung thư. Xạ trị sử dụng tia X để tiêu diệt tế bào ung thư, trong khi hóa trị sử dụng thuốc để tiêu diệt tế bào ung thư.Ngoài ra, các phương pháp điều trị bổ trợ như liệu pháp bức xạ, liệu pháp tế bào gốc và liệu pháp miễn dịch cũng có thể được sử dụng để hỗ trợ điều trị ung thư amidan khẩu cái.
Ung thư mô liên kết amidan khẩu cái
Đối với ung thư mô liên kết amidan khẩu cái, phương pháp điều trị phổ biến nhất là hóa trị và xạ trị để tiêu diệt các tế bào ung thư. Nếu ung thư đã lan sang các cơ quan khác, phẫu thuật có thể được sử dụng để loại bỏ các tế bào ung thư.
Câu hỏi thường gặp
Ung thư amidan khẩu cái có thể được phòng ngừa như thế nào?
Hiện tại, chưa có cách phòng ngừa chính thức cho ung thư amidan khẩu cái. Tuy nhiên, việc hạn chế tiếp xúc với các yếu tố nguy cơ như hút thuốc lá, tiếp xúc với hóa chất độc hại và tiếp xúc với tia cực tím có thể giúp giảm nguy cơ mắc bệnh.
Ung thư amidan khẩu cái có thể chữa khỏi hoàn toàn không?
Khả năng chữa khỏi ung thư amidan khẩu cái phụ thuộc vào giai đoạn của bệnh và tình trạng sức khỏe của bệnh nhân. Nếu được phát hiện sớm và điều trị kịp thời, khả năng chữa khỏi hoàn toàn là rất cao.
Việc phát hiện sớm và điều trị kịp thời là rất quan trọng để tăng cơ hội chữa khỏi ung thư amidan khẩu cái. Việc sử dụng bảo vệ khi quan hệ tình dục và tránh tiếp xúc với các chất độc hại cũng là cách hiệu quả để giảm nguy cơ mắc bệnh này.
Nguồn: https://nilp.vn
Danh mục: Sức Khỏe
