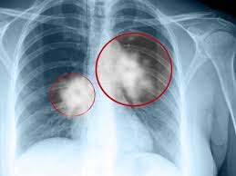
U trung thất là một khối u bất thường xuất hiện ở vùng trung thất của cơ thể, gây ra nhiều biến chứng và ảnh hưởng đến sức khỏe của người bệnh. Việc điều trị u trung thất phụ thuộc vào nhiều yếu tố như vị trí, kích thước và tính chất của khối u. Dưới đây là những thông tin cần biết về điều trị u trung thất.

Tại sao bị u trung thất cần điều trị sớm?
U trung thất cần được điều trị sớm vì nếu không can thiệp, khi khối u phát triển, chúng sẽ chèn ép các cơ quan và mô. Các khối u trung thất nếu không được điều trị có thể phát triển nhanh gây ảnh hưởng nghiêm trọng đến sức khỏe người bệnh. Bệnh nhân dù có bị u trung thất lành tính hay ác tính thì đều có nguy cơ gặp biến chứng nếu không được điều trị kịp thời. Phần lớn những khối u phát triển trong trung thất đều được chỉ định áp dụng kỹ thuật sinh thiết, cắt bỏ, hoặc điều trị bằng xạ trị, hoá trị nếu phát hiện đó là các tế bào ung thư. Phẫu thuật là biện pháp điều trị cơ bản cho các khối u trung thất, đặc biệt khi có dấu hiệu chèn ép và xảy ra biến chứng, ảnh hưởng đến đường thở của bệnh nhân.
Những đối tượng cần được phẫu thuật u trung thất
Việc phẫu thuật u trung thất được áp dụng cho những trường hợp sau:
- U trung thất có kích thước lớn và gây áp lực lên các cơ quan xung quanh.
- U trung thất có tính chất ác tính và có nguy cơ lan sang các cơ quan khác trong cơ thể.
- U trung thất gây ra các triệu chứng và ảnh hưởng đến chất lượng cuộc sống của người bệnh.
- Những người có triệu chứng nặng như khó thở, mệt mỏi, đau ngực và đau đầu.
- Những người có suy tim hoặc suy gan do u trung thất gây ra.
- Những trẻ em có u trung thất nặng và không phản ứng với liệu pháp thuốc.
- Những người trưởng thành có u trung thất nặng và không phản ứng với liệu pháp thuốc.
Điều trị u trung thất tùy vào vị trí khối u

U tuyến ức
U trung thất là một loại khối u thường gặp ở vùng đầu và cổ. Vị trí của khối u sẽ ảnh hưởng đến phương pháp điều trị.Nếu khối u nằm ở phần trên của u trung thất, thường được gọi là u trung thất trên, thì phương pháp điều trị thường là phẫu thuật. Phẫu thuật sẽ loại bỏ hoặc giảm kích thước của khối u, giúp giảm các triệu chứng và nguy cơ tổn thương thần kinh.Nếu khối u nằm ở phần dưới của u trung thất, thường được gọi là u trung thất dưới, thì phương pháp điều trị thường là theo dõi và quản lý các triệu chứng.
Nếu khối u không gây ra triệu chứng hoặc không phát triển, thì không cần phẫu thuật. Tuy nhiên, nếu khối u phát triển hoặc gây ra các triệu chứng như đau đầu, chóng mặt, hoặc giảm thị lực, thì phẫu thuật có thể được xem xét. Ngoài ra, nếu khối u là u trung thất chức năng, có nghĩa là nó sản xuất hormone, thì phương pháp điều trị sẽ khác nhau tùy thuộc vào loại hormone mà khối u sản xuất.
Nếu khối u sản xuất hormone tăng tiết, thì thuốc ức chế hormone có thể được sử dụng để giảm sản xuất hormone. Khối u sản xuất hormone giảm tiết, thì thuốc thay thế hormone có thể được sử dụng để bù đắp cho sự thiếu hụt hormone.Việc điều trị u tuyến ức phụ thuộc vào kích thước và tính chất của khối u. U tuyến ức có kích thước nhỏ và không gây ra triệu chứng, các chuyên gia y tế có thể quyết định theo dõi và theo định kỳ kiểm tra. Tuy nhiên, nếu u tuyến ức có kích thước lớn và gây áp lực lên các cơ quan xung quanh, việc phẫu thuật sẽ được áp dụng để loại bỏ khối u.
U thần kinh
Xem thêm : Phát hiện 8 loại ung thư – Chỉ với 1 lần thử máu
Việc điều trị u thần kinh phụ thuộc vào vị trí của khối u. Nếu u thần kinh nằm ở vị trí dễ tiếp cận, các chuyên gia y tế có thể áp dụng phương pháp phẫu thuật để loại bỏ khối u. Tuy nhiên, nếu u thần kinh nằm ở vị trí khó tiếp cận, các chuyên gia y tế có thể áp dụng phương pháp điều trị bằng tia X hoặc hóa trị để giảm kích thước của khối u.

U quái
Việc điều trị u quái phụ thuộc vào kích thước và tính chất của khối u. Nếu u quái có kích thước nhỏ và không gây ra triệu chứng, các chuyên gia y tế có thể quyết định theo dõi và theo định kỳ kiểm tra. Tuy nhiên, nếu u quái có kích thước lớn và gây áp lực lên các cơ quan xung quanh, việc phẫu thuật sẽ được áp dụng để loại bỏ khối u.
Bướu giáp trong lồng ngực
Việc điều trị bướu giáp trong lồng ngực phụ thuộc vào kích thước và tính chất của khối u. Nếu bướu giáp có kích thước nhỏ và không gây ra triệu chứng, các chuyên gia y tế có thể quyết định theo dõi và theo định kỳ kiểm tra. Tuy nhiên, nếu bướu giáp có kích thước lớn và gây áp lực lên các cơ quan xung quanh, việc phẫu thuật sẽ được áp dụng để loại bỏ khối u.
Nguồn: https://nilp.vn
Danh mục: Sức Khỏe
