Ung thư khoang miệng, còn được gọi là ung thư vòm miệng hoặc ung thư miệng, là một loại ung thư phổ biến nhưng thường bị bỏ qua. Nó bắt nguồn từ các tế bào bất thường phát triển trong khoang miệng, bao gồm mô niêm mạc, lưỡi, nướu và các cấu trúc khác. Ung thư khoang miệng có thể gây ra những hậu quả nghiêm trọng cho sức khỏe và chất lượng cuộc sống của người bệnh.

Ung thư khoang miệng là gì?
Ung thư khoang miệng là một loại ung thư phổ biến nhất trong các loại ung thư đầu cổ. Nó bắt đầu từ các tế bào bên trong miệng và có thể lan rộng đến các cơ quan khác trong cơ thể. Các tế bào ung thư có thể xuất hiện ở bất kỳ vị trí nào trong khoang miệng, bao gồm cả lưỡi, mô mềm, mô cứng và nướu răng.
Dấu hiệu cảnh báo ung thư khoang miệng

Các dấu hiệu cảnh báo ung thư khoang miệng bao gồm:
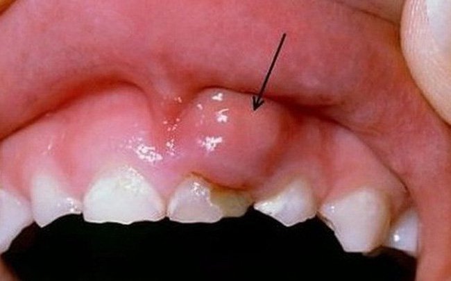
- Vết loét hoặc vết thương trên niêm mạc miệng hoặc lưỡi không lành trong vòng 2 tuần.
- Đau hoặc khó chịu khi nuốt, nói hoặc nhai.
- Mất cân nặng không rõ nguyên nhân.
- Sốt không rõ nguyên nhân.
- Sưng hoặc đau trong khoang miệng hoặc trên môi.
- Khó khăn khi nuốt hoặc nói.
- Mất cảm giác hoặc tê trong khoang miệng hoặc trên môi.
- Cảm thấy mệt mỏi.
- Thay đổi trong màu sắc hoặc kích thước của vết loét hoặc tổn thương.
Nếu bạn gặp bất kỳ dấu hiệu nào trên, hãy đi khám bác sĩ để được chẩn đoán và điều trị kịp thời.
Phòng ngừa ung thư khoang miệng hiệu quả

Phòng ngừa ung thư khoang miệng là cách tốt nhất để bảo vệ sức khỏe của bạn. Dưới đây là một số cách để phòng ngừa ung thư khoang miệng hiệu quả:
- Hạn chế sử dụng thuốc lá và rượu bia: Thuốc lá và rượu bia là những yếu tố gây ung thư khoang miệng phổ biến nhất. Vì vậy, hạn chế sử dụng thuốc lá và rượu bia là một trong những biện pháp quan trọng để phòng ngừa ung thư khoang miệng.
- Chăm sóc răng miệng định kỳ: Việc chăm sóc răng miệng định kỳ bao gồm đánh răng, sử dụng chỉ nha khoa và đi khám nha khoa định kỳ. Điều này giúp giảm nguy cơ mắc bệnh nhiễm trùng và viêm nhiễm, từ đó giảm nguy cơ mắc ung thư khoang miệng.
- Ăn uống lành mạnh: Ăn uống lành mạnh với nhiều rau củ và trái cây giúp cung cấp đầy đủ dinh dưỡng cho cơ thể và giảm nguy cơ mắc ung thư khoang miệng.
- Kiểm tra sức khỏe định kỳ: Kiểm tra sức khỏe định kỳ giúp phát hiện sớm các dấu hiệu của ung thư khoang miệng và các bệnh khác, từ đó giúp điều trị kịp thời và tăng cơ hội chữa khỏi.
- Tránh tiếp xúc với chất độc hại: Tiếp xúc với các chất độc hại như amiant, asbest và benzen có thể gây ung thư khoang miệng. Vì vậy, tránh tiếp xúc với các chất độc hại là một trong những biện pháp quan trọng để phòng ngừa ung thư khoang miệng.
Câu hỏi thường gặp
Có thể phòng ngừa ung thư khoang miệng như thế nào?
Có thể phòng ngừa ung thư khoang miệng bằng cách thay đổi lối sống, chăm sóc răng miệng và kiểm tra sức khỏe định kỳ.
Có thể phát hiện ung thư khoang miệng ở giai đoạn đầu như thế nào?
Có thể phát hiện ung thư khoang miệng ở giai đoạn đầu bằng cách chú ý đến các dấu hiệu cảnh báo như vết loét hoặc vết thương trên niêm mạc miệng hoặc lưỡi không lành trong vòng 2 tuần, đau hoặc khó chịu khi nuốt, nói hoặc nhai, sưng hoặc đau ở cổ hoặc khu vực miệng, mất cân nặng không rõ nguyên nhân hoặc sốt không rõ nguyên nhân. Nếu bạn gặp bất kỳ dấu hiệu nào trên, hãy đi khám bác sĩ để được chẩn đoán và điều trị kịp thời.
Nguồn: https://nilp.vn
Danh mục: Sức Khỏe
