Bạn có biết răng lệch không chỉ ảnh hưởng đến thẩm mỹ mà còn gây ra nhiều vấn đề về sức khỏe răng miệng? Để giải quyết vấn đề này, chỉnh nha là một trong những phương pháp được nhiều người lựa chọn. Dưới đây là những trường hợp lệch răng cần phải đến nha sĩ mà bạn cần biết.
1. Những trường hợp lệch lạc răng, mặt cần chỉnh nha
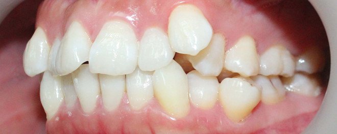
Lệch răng và mặt không đều có thể gây ra nhiều vấn đề khác nhau cho sức khỏe của bạn. Dưới đây là một số trường hợp cần phải đến nha sĩ để điều trị:
Bạn đang xem: Trường hợp nào cần nên đến nha sĩ
- Răng lệch: Răng lệch là trường hợp răng không nằm đúng vị trí của chúng. Nó có thể gây ra khó khăn trong việc vệ sinh răng miệng, gây ra sâu răng và viêm nhiễm nếu không được điều trị kịp thời.
- Răng hô: Răng hô là trường hợp răng bị dịch chuyển ra khỏi vị trí của chúng. Nó có thể gây ra khó khăn trong việc nhai thức ăn và gây ra sâu răng.
- Răng khấp khểnh: Răng khấp khểnh là trường hợp răng bị chồng lên nhau. Nó có thể gây ra khó khăn trong việc vệ sinh răng miệng và gây ra sâu răng.
- Mặt không đều: Mặt không đều có thể gây ra khó khăn trong việc nhai thức ăn, nói chuyện và gây ra các vấn đề về hô hấp.

2. Thời điểm chỉnh nha tốt
Xem thêm : Nhuộm tóc có an toàn hay không?
Thời điểm tốt nhất để điều trị chỉnh nha là khi còn trẻ, trong giai đoạn từ 6 đến 12 tuổi. Trong giai đoạn này, xương và răng của trẻ em đang phát triển và dễ dàng điều chỉnh hơn so với khi trưởng thành. Tuy nhiên, việc niềng răng chỉnh nha cũng có thể được thực hiện ở mọi độ tuổi. Ngoài ra, thời điểm vàng để niềng răng cho trẻ là từ 12 đến 16 tuổi. Việc niềng răng chỉnh nha ngay từ sớm sẽ giúp khắc phục nhanh chóng tình trạng răng mọc sai lệch và hạn chế tối đa ảnh hưởng tới tính thẩm mỹ của răng miệng. Tuy nhiên, việc điều trị chỉnh nha cũng có thể được thực hiện ở mọi độ tuổi và thời điểm
3. Mục đích của việc chỉnh nha
Việc chỉnh nha có nhiều mục đích khác nhau, bao gồm:
- Cải thiện tính thẩm mỹ: Chỉnh nha giúp bạn có một nụ cười đẹp hơn và tự tin hơn khi giao tiếp và gặp gỡ người khác
- Cải thiện sức khỏe răng miệng: Răng mọc lệch có thể gây ra khó khăn trong việc vệ sinh răng miệng, gây ra sâu răng và viêm nhiễm. Chỉnh nha giúp cải thiện chức năng nhai và bảo vệ sức khỏe răng miệng
- Cải thiện chức năng hô hấp: Mặt không đều có thể gây ra các vấn đề về hô hấp. Chỉnh nha giúp cải thiện chức năng hô hấp và giảm nguy cơ các vấn đề về hô hấp
- Cải thiện chức năng tiêu hóa: Chỉnh nha giúp cải thiện chế độ nhai và bảo vệ sức khỏe răng miệng, từ đó giúp cho hệ tiêu hóa được tốt hơn
Việc điều trị chỉnh nha không chỉ giúp cải thiện tính thẩm mỹ mà còn giúp bảo vệ sức khỏe răng miệng và cải thiện chức năng của cơ thể. Nếu bạn có bất kỳ vấn đề nào về lệch răng và mặt không đều, hãy đến nha sĩ để được tư vấn và điều trị kịp thời.

Các câu hỏi thường gặp và trả lời
1. Chỉnh nha có đau không?
Xem thêm : Triệu chứng viêm loét miệng do hoá trị phổ biến nhất
Chỉnh nha có thể gây ra đau nhẹ trong vài ngày đầu tiên. Tuy nhiên, đau sẽ giảm dần và bạn sẽ cảm thấy thoải mái hơn sau một thời gian ngắn.
2. Chỉnh nha có ảnh hưởng đến chức năng nhai không?
Trong quá trình chỉnh nha, bạn có thể cảm thấy khó chịu khi nhai thức ăn. Tuy nhiên, sau khi hoàn thành quá trình chỉnh nha, chức năng nhai của bạn sẽ được cải thiện đáng kể.
3. Chỉnh nha có ảnh hưởng đến việc nói chuyện không?
Trong quá trình chỉnh nha, bạn có thể cảm thấy khó khăn khi nói chuyện. Tuy nhiên, sau khi hoàn thành quá trình chỉnh nha, bạn sẽ nói chuyện dễ dàng hơn và âm thanh của bạn sẽ được cải thiện.
Chỉnh nha là một trong những phương pháp giúp bạn có một hàm răng khỏe mạnh, đẹp và tự tin hơn trong giao tiếp. Nếu bạn có bất kỳ vấn đề nào về răng miệng, hãy đến nha sĩ để được tư vấn và điều trị kịp thời.
Nguồn: https://nilp.vn
Danh mục: Sức Khỏe
